【醫療失誤】睇漏X光片陰影 醫管局:按臨床決定由放射科睇片

撰文:陳倩婷
出版:更新:

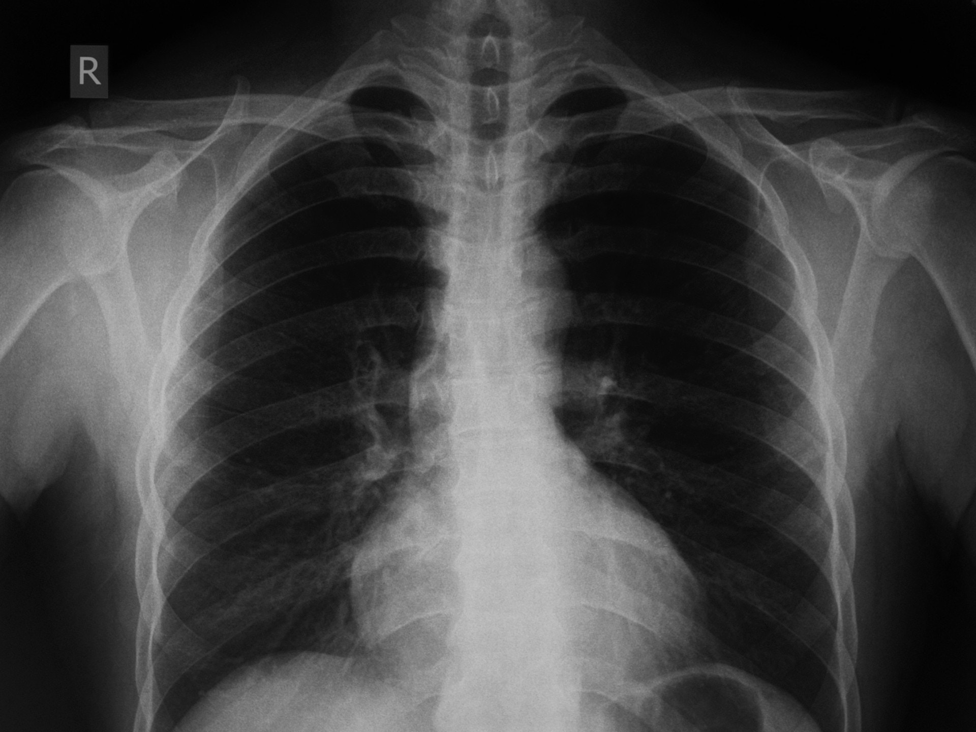
醫院管理局上月公布三間醫院涉及醫療失誤,有醫護人員未能適時察覺X光片顯示病人肺部出現異常陰影,其中一宗個案病人更因此延遲醫治達三年。醫管局今日(5日)透露,就事件成立的根源分析委員會料於八星期內完成調查報告並作建議,醫管局又指,現行制度由不同專科的醫生閱讀X光片作診斷,會按病人的臨床需要判斷應否由放射科醫生進一步閱讀X光片。

醫管局指,會按病人臨床需要決定是否需由放射科醫生閱讀X光影像。(資料圖片)

醫管局於11月21日公布三宗醫療失誤,分別來自威爾斯親王醫院、瑪麗醫院及瑪嘉烈醫院的醫護人員,未能適時察覺X光片顯示病人肺部出現異常陰影,三名病人其後確診患上肺癌,其中一名病人延誤醫治近三年,另外兩名病人則延誤診治達1.5年。醫管局當時宣布,在總辦事處層面成立根源分析委員會調查成因,及研究日後如何確保醫護不犯同類失誤。

政府今日回答立法會議員提問時指,根源分析委員會料於八個星期內完成報告,及提出改善建議。對於有議員問到,會否確保日後所有X光片均由有經驗的放射科醫生閱讀,醫管局的回應指出,現行機制是按各專科分流作臨床管理,病人接受X光檢查後,X光影像會上傳至臨床管理系統,由醫生診斷,再按臨床需要判斷需否諮詢放射科醫生撰寫報告。

醫管局亦透露近年接獲的醫療事故申索個案數字,2015、2016及2017年,分別錄得128宗、125宗及111宗申索,而2018年首10個月則錄得81宗申索。而庭外和解申索個案的賠償額,則以2015年接獲的申索最高,該年賠償額共逾三千萬港元。